An elbow fracture is a break in one or more of the three bones that make up the elbow joint (the humerus, ulna, and radius.) It can have any variety of causes, with three general causes being direct impact, such as landing on the elbow joint during a fall; indirect impact, such as landing on an outstretched hand with a bent elbow during a fall; and a twisting injury to the arm. Elbow fractures can be complicated because they are often accompanied by other injuries such as dislocations, sprains, and strains.
Types of Fractures
The elbow joint is a multifaceted, complicated joint, and thus there are several points at which an elbow fracture can occur. Supracondylar fractures, for example, occur in the humerus bone just above the elbow joint; condylar fractures, meanwhile, occur at one of the bony knobs of the elbow joint; epicondylar fractures occur at one of the projections of the bony knobs of the elbow joint; and physis fractures occur at the elbows growth plates. Children and adults typically see different fracture types. Here are the different categories that an elbow fracture may fall under.
Nondisplaced
Nondisplaced fractures occur when there is a break in one or more of the bones at the elbow joint, but the bones have stayed in place.
Displaced
Displaced fractures occur when a bone has broken, and those ends of the bone have separated from one another.
Comminuted
Comminuted fractures occur when one or more bones have cracked and broken into multiple pieces.
Open
An open fracture occurs when the bone has penetrated through the skin.
Signs and Symptoms
Major signs and symptoms of an elbow fracture include pain, tenderness, swelling, bruising, and stiffness in and around the elbow. There may be numbness or weakness in the arm, wrist, and hand, as well. You might hear a snap or pop at the time of injury, and visible deformity might mean that a bone in the elbow joint has been dislocated. If you have trouble moving your arm, or if you are unable to move it at all, you may very well have an elbow fracture.
Diagnosis
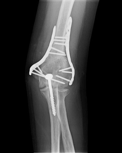
A healthcare provider will first examine the elbow and surrounding area for signs of a fracture. An X-ray is required to confirm that a fracture is present, and a CT (Computed Tomography) scan might be needed as well in order to get further detail on the injury.
Treatment
Nondisplaced fractures usually do not require surgery and can be treated using a sling, cast, or splint. Casts are typically used in children for these fractures, as they run a lower risk of developing elbow stiffness. Displaced and unstable fractures, meanwhile, are more likely to require surgery. A surgical procedure might remove bone fragments, or replace and stabilize fragments. Open fractures will absolutely require an immediate surgical procedure to clean the wound and bone, and to minimize the risk of infection.
Your doctor may require rehabilitation for the elbow to maximize motion and decrease your chance of developing elbow stiffness. Rehabilitation might include exercises, ultrasound, scar massage, heat, ice, and splints that stretch the joint.



